

1단계: 경미한 부종, 압통이 있으나 불안정성이나 기능적 상실은 거의 없는 인대 내부의 파열
2단계: 중등도 부종, 압통 및 움직임 제한을 동반한 인대의 부분 파열
3단계: 관절의 불안정성과 함께 심한 부종, 압통 및 관절운동제한이 있는 완전한 파열
1단계 염좌는 스프린트 고정 및 보존적인 치료로 호전을 기대할 수 있으나 2단계 이상에서 관절의 불안정성이 있으면 관절경적 봉합술이 필요

1. 엄지발가락이 바깥쪽으로 휘고, 염증으로 통증 발생
2. 발바닥에 굳은살이 생기고, 발바닥에 통증 발생
3. 엄지발가락과 두번째 발가락이 겹쳐지거나 탈구
4. 새끼발가락 관절이 돌출되는 변형

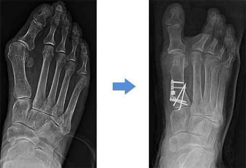
1. 엄지발가락을 바깥쪽으로 당기는 힘줄과 인대를 절단하여 변형을 막고
2. 돌출된 뼈는 제거하고
3. 각도 교정을 위해 절골술 시행
