
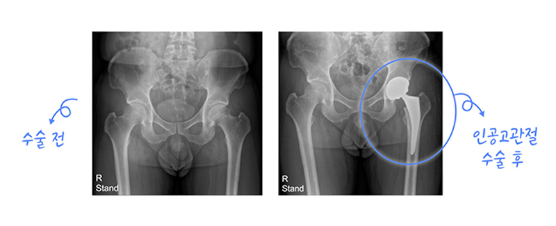
인공관절 치환술이란 관절염이나 특정 질환 또는 외상에 의해 더 이상 기능을 나타내지 못하는 즉 파괴된 관절의 일부분을 제거하고 인체공학적으로 제작된 기계를 삽입해서 관절의 운동 기능을 회복시켜주면서 통증을 없애는 수술을 말합니다. 인공관절 치환술의 목적은 관절 부위의 통증 해소와 운동 범위를 향상시키는 것입니다.
무혈성 괴사는 대퇴 골두로 가는 산소와 혈액 공급이 충분히 진행되지 않아 괴사가 발생하는 것을 말합니다. 괴사 후 관절이 망가지고 통증이 생기는 질환입니다. 대퇴골두에 혈액공급이 원활하지 않은 정확한 원인이 밝혀지지는 않았으나, 아래와 같은 요소들이 발병을 잘 일으키는 것으로 보고 있습니다.
-과도한 음주
장기간/과도한 스테로이드 복용
-외상으로 인한 고관절 탈구/경부 골절 후 합병증으로 혈류가 차단된 경우
-30~50대 남성 (남성의 발병율이 여성보다 4~8배 높음)
-장기이식, 방사선 치료를 받은 경우
-그 외 신장질환 환자, 후천성 면역결핍증, 잠수병 환자 등
괴사만으로는 통증이 발생하지 않기 때문에 특별한 초기 증상은 없으나,사타구니 부위가 자주 시큰거리거나, 차에 타고 내릴 때 또는 양반다리 자세가 불편하거나 통증이 있다면 질환을 의심해 보셔야 합니다. 필요한 경우 인공 관절로 수술을 시행합니다.

나이가 들어가면서 관절이 닳아 없어지는 퇴행성관절염은 특히 무릎 관절에 많아 인공관절 치환술을 받게 되는 가장 흔한 원인입니다. 휴식과 물리치료, 약물요법 등에 효과가 없고 염증 및 통증이 심할 경우 통증을 없애고 관절의 운동 및 안정성을 회복시키는 목적으로 시행합니다.
류마티스성 관절염이 악화되면 심한 관절 파괴 및 변형을 초래하면서 통증이 조절되지 않습니다. 이런 경우에도 인공관절 대치술을 받아야 합니다. 부위별로 보면 무릎 관절의 류마티스성 관절염으로 인공관절 치환술을 받는 경우가 가장 많고 엉덩이 관절에도 자주 있으며 손가락 관절을 수술하는 경우도 있습니다.
엉덩이 관절 주위의 골절에서 매우 흔하게 만나는 상황으로 주로 노년 환자에서 건강 상태가 좋지 않거나 뼈가 약한 경우 빨리 보행을 할 수 있도록 해서 장기간 병상 생활로 인해 생길 수 있는 합병증(폐렴, 욕창 등)을 예방하는 목적으로 뼈를 붙이는 수술보다는 인공 관절 치환술을 시행합니다. 어깨 관절 주위의 심한 분쇄 골절이 발생되어서 부러진 뼈 조각들을 전부 맞추지 못하는 경우에도 인공 관절 치환술을 하게 됩니다.
무릎 관절에서 인공 관절 치환술을 받게 되는 흔한 원인 중의 하나로서 무릎 관절을 이루는 대퇴골, 경골 및 슬개골의 골절 후 제대로 붙지 못한 경우 관절염을 초래하여 심한 통증 및 운동 장애를 일으켜 수술이 필요하게 됩니다.
