
성장이란 우리 몸을 이루고 있는 세포의 증식과 비대로 신체 크기가 증가하는 것을 말하며 키가 자라는 것은 어린이의 건강상태를 가장 민감하게 나타내는 지표입니다.
1) 3세 이후 평균 키 보다 약 10Cm 이상 작은 경우
2) 매년 키 크는 속도가 4-5Cm 이하인 경우
3) 키 크는 속도가 어느 시기에 갑자기 감소하는 경우
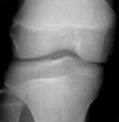
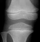
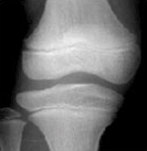
4) 같은 또래 아이들의 키보다 2표준편차 이상 작은 경우에는 성장클리닉 전문의의 진료가 필요합니다. 키가 정확히 또래 아이들보다 작은편인지 큰 편인지 진료를 통해 알아볼 수 있으며 성장판 촬영으로 골연령을 정확히 측정하는 것이 중요합니다.
| 열린경우 | 닫혀가는 경우 | 닫힌 경우 | |
|---|---|---|---|
| 경골 Tibia |
![]() |
![]() |
![]() |
| 지골 Phalange |
![]() |
![]() |
![]() |
| 종골 Calcaneus |
![]() |
![]() |
![]() |