
위에서 분비되는 염산과 소화효소인 펩신에 의해 위나 십이지장의 점막이 깊게 패인 것을 말합니다. 최근 궤양의 여러 원인중 위내 세균 즉 헬리코박터와의 연관성이 밝혀지면서 진단 및 치료에 많은 진전이 있어 왔습니다.
소화성 궤양 클리닉은 소화성 궤양의 원인규명 및 체계적인 진단과 함께 효과적으로 환자를 치료하는 곳으로 이를 위해 상부소화관 내시경, 조직검사, 균검사를 위한 요소호기검사등을 실시하게 되며 원인에 따라 소화기내과 의사가 중심이 되어 치료를 맡게 됩니다.

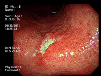
위장관암이란 식도, 위, 소장 및 대장에 생기는 악성종양을 말하며 대부분 자각증상이 없어 많은 예에서 암의 완전절제가 불가능한 진행된 상태로 진단되어 최근 여러 가지 치료법의 개발에도 불구하고 예후가 불량합니다.
특히 한국에서 위암은 전 악성종양의 1위를 차지하고 있으며 전체 암 사망의 1위를 기록하고 있어 임상에서 뿐만 아니라 국민 보건적 차원에서도 매우 중요한 질환입니다.
그러나 위암은 물론 다른 소화기암의 경우에 조기 진단하여 적절히 치료하면 생존율을 향상 시킬 수 있으며 실제로 조기위암의 경우 5년 생존율이 90-95%에 이를 정도로 조기발견 및 치료가 예후를 개선시킬 수 있는 중요한 수단이라 할 수 있습니다.
따라서 위장관암 클리닉에서는 위장및 대장에 발생하는 악성종양, 즉 암을 효과적으로 진단 및 치료를 내과 외과 전문 진료 팀이 담당하고 있습니다.

치료내시경이란?
상부내시경으로는 위 용종, 조기위암 하부내시경으로는 대장의 용종(폴립) 및 조기 대장암, 소화관 이물의 제거, 식도 및 위정맥류, 소화관 출혈 및 천공, 경피 내시경적 위루술 (내시경으로 위 내부를 보면서 복벽을 통해 위로 튜브를 삽입하는 시술) 등 내시경을 통한 치료 및 치료적 시술을 시행하고 있습니다.
이러한 치료내시경술은 시술을 함으로써 환자의 생명을 연장및 삶의 질을 향상시키는데 많은 기여를 합니다. 치료 방법에 대해서는 아래 내용을 참고 하시기 바랍니다.
1) 위 및 십이지장 궤양 출혈 환자의 지혈술
전기응고소작기나 레이저 또는 금속클립 등을 내시경을 통해 조작 하여 출혈부위를 응고 지혈시킬 수 있습니다. 이러한 지혈법으로 수술적 치료를 대신할 수 있습니다.

2) 식도정맥류 출혈 환자의 내시경적 정맥류 결찰술
간 질환이 있는 일부 환자들은 식도, 위, 직장에 큰 정맥류가 생겨, 이곳에서 출혈이 발생할 수 있습니다. 이러한 경우 내시경을 통해 가는 바늘을 찔러 지혈제를 투여(경화요법)하거나 정맥류를 고무밴드로 묶어 지혈(결찰요법) 시키는데, 계속적인 내시경 치료로 식도, 위, 직장 정맥류를 완전히 치료할 수도 있습니다.

3) 내시경적 용종절제술 및 점막(하) 절제술
양성 종양은 과거에는 관찰 또는 수술적 절제를 하였으나 최근에는 너무 크지 않은 경우 내시경적으로 출혈 없이 간단히 제거할 수 있으며 이것은 치료적인 측면 뿐만 아니라 종양 전체 조직을 검사할 수 있어 정확한 진단에도 매우 도움이 됩니다.
더욱이 악성 종양(암)에 대해서도 최근에는 임파절 전이가 없는 조기암인 경우 적절한 경우에 내시경적 절제술이 치료로 이용되고 있습니다.


4) 내시경적 이물 제거술
환자가 생선뼈나 동전, 건전지 등 여러 이물질을 고의 또는 사고로 삼켜서 응급실에 내원한 경우에는 위, 식도 점막의 손상 및 천공, 호흡부전 등의 위험성이 있기 때문에 응급 내시경을 시행하여 내시경을 통해 이물질을 체외로 배출시킬 수 있습니다.

5) 경피 내시경적 위루술
뇌졸증이나 뇌출혈 등으로 경구 섭취가 불가능한 경우 대부분 체외 삽입관을 통해 식사를 공급하게 되는데 코를 통한 경비적 위관 삽입술은 장기간 유치시 기관지로 음식물이 흡입되어 폐렴 등을 유발시킬 수 있으며 관 자체로 인한 점막손상 및 출혈을 유발시킬 수 있습니다. 그러므로 이러한 경우에는 경피적 위루술(복벽의 피부를 뚫고 위로 음식공급용 튜브를 삽입하는 시술)을 시행하는데 과거 위루술은 전신마취를 통해 외과적 수술을 시행하였으나 최근에는 내시경을 통해 전신마취의 위험이 없이 위루술을 시행하고 있습니다.


대장 용종 절제술, 대장 점막 절제술, 대장 출혈 지혈술
대장에 발생하는 용종, 선종(양성종양) 등 종양에 대하여 절제를 시행하여 대장암 발생을 2차적으로 예방하는데 중요한 역할을 하며, 대장에서 발생하는 출혈성 질환 (궤양, 게실 출혈, 정맥류, 모세혈관 확장증 등)에 대한 내시경 지혈술 등을 시행합니다.

