
오산 한국병원 소화기 내과에서는 다양한 간장 질환에 대한 진단 및 치료를 하고 있습니다.
1. 바이러스 간염(A형, B형, C형)
2. 간농양
3. 알코올성 간장질환
4. 간경변증과 합병증
5. 간암조기진단
- A형 간염은 RNA 바이러스 감염에 의해 발생하며, 경구감염을 통해 발생합니다. 최근 우리나라의 위생수준이 향상 되며 발생이 증가하고 있습니다.
- 우리나라 항체양성률(질병관리본부)

- 임상경과 - 평균 잠복기는 4주(15~60일)이며, A형간염에 의한 증상은 발열, 무력감, 식욕부진, 오심, 구토 및 설사가 있으며, 성인의 경우 황달을 동반하여 눈과 몸이 노래지며, 소변이 매우 붉은색으로 변할 수 있습니다.
- 치료 ; 현재까지 항바이러스제제는 없으며, 보존적 치료를 합니다. 급성 A형 간염의 0.01~0.1%에서는 전격성 간염으로 진행하여 사망에 이를 수 있으며, 특히 동반질환이 있는 경우 치명율이 높아질 수 있습니다.
- 예방접종이 개발되어 현재 사용 중 이며, 2번 접종합니다. 1차 접종 후 4주가 지나면 97~100%의 항체 생성률을 보이며, 2차 접종 후에는 거의 100%의 항체 형성을 보입니다.
- 예방접종 권고 대상자로는 유행지로 여행갈 예정인 경우, A형 간염 접촉자, 약물남용자, 보건관련된 일을 하는 직업군, 군인, 이전에 접종력이 없는 20-30대, 만성간장질환이 있는 경우등이 있습니다.
- Herpadna virus에 속하는 이중 가닥 DNA 바이러스의 감염으로 발생한다. 주로 주산기 감염, 성접촉, 직업적 노출, 약물남용자에서 오염된 바늘을 사용하여 전염이 된다고 알려져 있습니다.
- 우리나라 만성 간염 및 간경변증 환자의 약 70%, 간세포암종 환자의 65~74%에서 B형간염을 동반하고 있어, 국민 건강에 미치는 영향이 매우 크다고 볼 수 있습니다.
- 2005년 기준으로 10세 이상 인구 중 남자 4.8%, 여자 3.0%로 전체 인구의 3.7%가 감염되어 있는 것으로 알려져 있습니다.
- 진단을 위해 혈액검사를 통해 혈청검사(항체/항원), 바이러스 검사, 유전자형, 생화학검사(간기능등), 조직검사등이 필요하며, 간세포암의 선별검사로 간초음파, 혈청알파태아단백 검사가 필요할 수 있습니다.
- 증상 ; 환자의 상태에 따라 다양한 임상양상을 보입니다. 급성 악화를 보이는 경우 일반적인 바이러스 감염에 따른 증상과 간기능이 악화되며 황달이 발생할 수 있습니다.
- 치료 ; 현재 다양한 종류의 항바이러스 제제가 사용가능하며 환자 상태에 따라서 선택되어 사용할 수 있습니다.
- 합병증 ; 만성 B형 간염을 치료하지 않고 방치하는 경우 간경변증, 간세포암종등의 발생으로 사망에 이를 수 있습니다.
- 예방접종이 필요한 경우로는 B형간염의 발생의 위험이 높은 사람들로, 배우자가 B형간염이 있는 경우, 혈액제제를 투여받는 경우, 만성 콩팥병이 있는 경우, 보건직종등이 있습니다.
- Flaviviriade과 heparcivitus속에 속하는 RNA 바이러스의 감염이며, C형 간염에 감염된 혈액에 노출, 오염된 주사기의 사용, 성관계, 주산기 감염 등으로 전염된다고 알려져 있습니다.
- 우리나라에서 유병률은 1.5%미만으로 알려져 있습니다.
- 진단을 위해 B형간염과 같이 혈청검사 및 RNA 검사등이 필요합니다.
- 치료 ; 인터페론과 항바이러스제제를 주로 사용하였습니다. 최근에 다양한 종류의 경구 항바이러스 제제의 출시로 환자에 따른, 유전자형에 따른 다양한 치료방법이 소개되었습니다.
- 예방주사는 아직 개발되지 않았습니다.
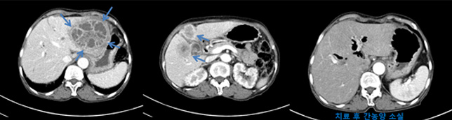
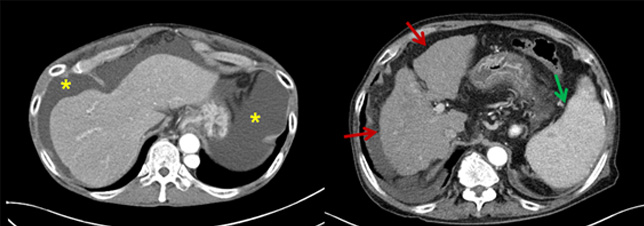
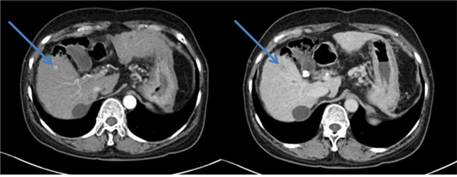
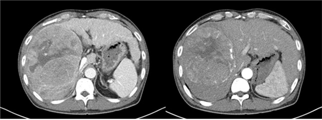
- 세균, 원충, 진균등의 원인균이 간실질내로 침투하여 증식함으로써 간실질내 종괴 양상의 고름을 형성하는 질환입니다.
- 국내에서는 과거 위생상태가 좋지 못했을 때는 아메바성 간농양이 흔했으나, 최근에는 위험요인을 가진 환자에서 화농성 간농양이 증가하고 있습니다.
- 임상양상 ; 증상은 다양합니다. 발열, 복통, 압통등이 있으며, 비특이적 증상으로 오한, 식욕부진, 체중감소, 오심, 구토, 전신쇠약, 무력감이 있습니다.
- 진단 ; 과거에는 불명열의 원인이었으나, 최근에는 영상기술의 발전으로 진단할 수 있습니다. 간초음파, 간복부전산화단층촬영등의 방법으로 진단이 가능합니다.

- 치료 ; 적절한 배농과 항생제로 치료가 가능합니다. 하지만 크기가 크거나 외과적 질환이 동반된 경우 수술을 고려할 수 있습니다.
- 우리나라는 음주와 주취에 관대한 문화로 사회생활을 매끄럽게 하는 윤활유로 여겨지고, 사업, 친목, 모임등에 중요한 요소로 간주되어, 최근에는 성인 1인당 알코올 섭취가 15L에 가까워 세계적으로 알코올 섭취가 가장 많은 나라에 속합니다.
이로 인한 간염, 알코올성 지방간, 알코올성 간경변증등의 발생이 사회적 문제가 되고 있습니다.
- 알코올 남용을 알아보는 표입니다. 본인은 해당사항이 얼마나 되는지 확인해볼까요?
| 0 | 1 | 2 | 3 | 4 | |
|---|---|---|---|---|---|
| 1.얼마나 자주 술을 마십니까? | 안마심 | 월1회 이하 | 월2~4회 | 주2~3회 | 주4회이상 |
| 2.술을 마시면 한번에 몇 잔 정도 마십니까? | 소주1~2잔 | 소주3~4잔 | 소주5~6잔 | 소주7~9잔 | 소주10잔이상 |
| 3.한번에 소주 1병 또는 맥주4병 이상 마시는 경우는 얼마나 자주 있습니까? | 없다 | 월1회 미만 | 월1회 | 매주 | 거의 매일 |
| 4.지난 일년간 한번 술을 마시기 시작하면 멈출 수 없었던 때가 얼마나 자주 있었습니까? | 없다 | 월1회 미만 | 월1회 | 매주 | 거의 매일 |
| 5.지난 일년간 평소 같으면 할 수 있던 일을 음주 때문에 실패한 적이 얼마나 자주 있었습니까? | 없다 | 월1회 미만 | 월1회 | 매주 | 거의 매일 |
| 6.지난 일년간 숭릉 마신 다음날 일어나기 위해 해장술이 필요했던 적은 얼마나 자주 있었습니까? | 없다 | 월1회 미만 | 월1회 | 매주 | 거의 매일 |
| 7.지난 일년간 음주 후에 죄책감이 든 적이 얼마나 자주 있었습니까? | 없다 | 월1회 미만 | 월1회 | 매주 | 거의 매일 |
| 8.지난 일년간 음주 때문에 전날 밤에 있었던 일이 기억나지 않았던 적이 얼마나 자주 있었습니까? | 없다 | 월1회 미만 | 월1회 | 매주 | 거의 매일 |
| 9.음주로 인해 자신이나 다른 사람이 다친 적이 있습니까? | 없다 | 있지만 지난 1년간 없음 | 지난 1년간 있음 | ||
| 10.친척이나 친구, 의사가 당신이 술 마시는 것을 걱정하거나 당신에게 술 끊기를 권유한 적이 있었습니까? | 없다 | 있지만 지난 1년간 없음 | 지난 1년간 있음 |

- 치료는 병의 진행정도에 따라 다릅니다. 가장 중요한 것은 단주와 절주이며, 간경변증이 발생한 경우에는 간경변증의 진료지침에 따릅니다.
- 금단치료 ; 알코올 금단 증후군은 알코올사용장애 환자가 장기간 과음하다 갑자기 음주를 중단하는 경우 6~24시간에 나타나는 변화를 말하며, 빈맥, 발한, 손떨림, 구역, 구토, 환각, 경련, 금단 섬망등의 인지기능 장애를 보일 수 있으며 사망에 이르기도 합니다. 치료는 대증치료로 Benzodiazepine, 비타민보충, 수액보충이 필요합니다.
- 단주는 생존과 예후를 호전시키고 조직 소견의 호전과 문맥압을 감소시켜 간경변증으로의 진행을 억제할 수 있는 가장 중요한 치료입니다. 단주를 유지하기 위하여 여러 치료법들이 활용되고 있습니다. 그 예로 약물치료, 정신사회치료가 동반되어야 합니다.
- 간경변증이 발생한 경우에는 간이식을 고려해야하는 경우도 있습니다.
- 병리조직학적으로 정의되는 질환으로 임상적으로 대상성 간경변증과 비대상성 간경변증으로 분류되며 비대상성 간경변증은 복수, 정맥류 출혈, 간성뇌증, 황달이 있는 경우로 정의할 수 있습니다.
- 진단은 주로 임상적으로 이루어 지며, 문진, 신체검사, 영상검사와 피검사등이 필요합니다.
- 원인으로는 만성 B, C형 간염, 알코올성 간염, 비알코올성 지방간, 원발성 담즙성 간경병증등이 있으며, 흔하지 않은 유전적, 대사성 간질환도 있습니다.

- 합병증은 식도, 위 정맥류 출혈, 간경변성 복수, 간성뇌증, 간신증후군, 간암의 발생이 있습니다.


- 우리나라의 연도별 간세포암종 발생건수 및 발생률

(2014년 간세포암종 진료 가이드라인, 간암학회, 국립암센터)
- 위험요인으로 B,C형 만성간염자, 알코올, 흡연등이 잘알려져 있습니다. 특히 간염 바이러스는 간암의 가장 중요한 원인으로 알려져 있으며, B,C 형 간염이 전체 간암 발생의 75~80%정도 중요합니다. 따라서 B,C형 만성 간염이 있는 위험군 환자들은 조기진단을 위한 정기적인 진찰 및 검사가 필요합니다.
- 진단을 위해 필요한 검사는 간초음파, 간복부전산화단층촬영, 간 조영증강 MRI, 혈관조영술, 간조직검사, 암 표지자로서 알파태아단백(aFP)이 있습니다.


- 치료는 병기에 따라, 환자 상태에 따라 다양한 방법이 있습니다. 수술적 방법으로 간절제술, 간이식이 있으며, 국소치료술로 고주파열치료술, 에탄올주입술이 있으며, 그 외 경동맥화학색전술, 체외 방사선치료, 전신 항암요법이 있습니다. 이는 환자 상태 및 병기에 따라 선택되어 시행할 수 있습니다.
참고문헌
소화기학, 군자출판사
간경변진료가이드라인, 대한간학회
바이러스간염의 예방과 예방접종, 대한내과학회지
알코올 관련 간질환 진료가이드라인, 대한간학회
B형간염, C형간염 진료 가이드라인, 대한간학회
화농성 및 아메바 간농양, 대한간학회
간세포암종 진료 가이드라인, 간암학회