
저희 오산한국병원에서는 담도와 담낭 및 췌장에서 발생한 췌담도계 질환 등에 대한 진단 및 치료를 시행하고 있습니다. 초음파나 CT, MRI 및 ERCP 등을 통한 정확한 진단은 물론 내시경적 역행성 췌담도 조영술을 이용한 치료 시술도 활발하게 시행하고 있습니다.
내시경적 역행성 췌담도 조영술 간단하게는 담도내시경 또는 췌담도 내시경이라고 부르기도 합니다. 이를 통해 십지지장 유두부, 담도, 담낭, 췌장 질환 등을 검사하게 됩니다.
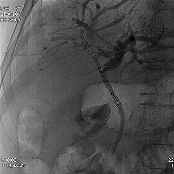
이러한 담도내시경은 담도 결석으로 인한 담도염 환자에게서 담석 제거를 수술적 방법이 아닌 내시경을 이용하여 제거하는데 가장 많이 이용됩니다.
그 외에에도 CT 나 MRI 검사에서도 확실치 않은 담도암을 진단하는데 이용되기도 하며, 담도암이나 췌장암, 유두부암 등으로 인한 담도 폐색 등을 치료하기 위해 담도내시경을 이용한 스텐트 시술 등을 진행합니다.
증례 1. 복통으로 내원하여 담도 결석에 의한 담도염 진단 환자에서 담도내시경을 이용한 담도 결석 제거술 시행 1예


증례 2. 황달로 내원하여 유두부 결석 진단하에 담도내시경을 이용한 결석 제거술 시행 1예.
>


증례 3. 황달 증상으로 내원하여 간내 담도암 진단 환자에서 담도내시경을 이용한 금속 스텐트 시술 시행 2예


증례 4. 황달 증상으로 내원한 환자에서 담도내시경을 통해 진단된 십이지장 유두부 종양 2예

