

갑상선은 인체에서 가장 큰 내분비기관으로 성인에서의 무게는 약 20그램정도로 목의 앞 부분에 위치한 나비모양의 내분비기관을 말하며 갑상선 호르몬을 만들고 혈액내로 분비하고 갑상선 호르몬은 신체 내의 거의 모든 조직에서 작용하여 신체 내의 각종 영양소를 태워 에너지를 생산하며, 뇌의 발달에도 결정적인 역할을 한다고 알려져 있습니다. 갑상선에 발생하는 질환에는 갑상선호르몬이 많게 또는 적게 분비되어 나타나는 기능이상과 갑상선내에 결절(혹)이 생기는 갑상선 종양으로 나눌 수 있습니다.
갑상선호르몬이 증가하여 신체대사가 증가되며 에너지소모가 많아지는 상태
갑상선호르몬이 감소하여 신체대사가 감소하며 에너지 대사율이 떨어진 상태
갑상선의 기능이상을 검사하기 위해서는 피검사로 갑상선호르몬 및 갑상선 자극호르몬의 양의 변화를 봐야 하며 이상이 있을 경우 약물로 치료하게 됩니다.
갑상선에 몽우리(혹)이 생기는 경우로 대부분은 양성종양으로 갑상선에 결절이 있는 경우는 매우 흔한 질환으로 전체 인구의 약 10%이상에서 발견된다고 합니다. 이 중 갑상선 악성종양은 약 5% 이내에 불과하지만 갑상선 종양의 환자가 많음을 고려할 때 그리 적은 수는 아닙니다.
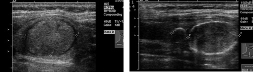
갑상선종양의 진단도가 가장 정확한 방법입니다. 갑상선 초음파 검사로 결절의 크기, 모양, 위치, 결절의 갯수 등을 알 수 있을 뿐 아니라 결절의 낭성 변화(혹 속에 피나 물이 고이는 경우)나 낭종(물혹)을 확인할 수 있습니다. 경계가 좋지 않은 결절, 내부에코가 불균등 한 경우 및 갑상선 밖으로 침범하는 모양을 보이는 멍울주위에 임파절이 커져있는 경우 갑상선 암을 의심할 수 있습니다.

검사시 초음파영상을 보면서 주사기로 갑상선 결절에서 세포를 흡인해 내고(뽑아내고) 염색하여 현미경으로 관찰하는 검사로 보통 1-2분이내에 검사가 끝나는 간단한 검사이므로 갑상선 결절의 암여부를 알기 위한 필수검사법으로 사용되고 있습니다.

갑상선 미세침 흡인 세포검사에서 암세포가 나타나면 100% 암으로 확진할 수 있습니다. 그러나 세포검사에서 암세포가 보이지 않는다고 암이 아니라고 100%확신할 수는 없습니다. 특히 갑상선 암의 일종인 갑상선여포암인 경우에 갑상선 미세침흡인세포 검사만으로 양성 종양과 암을 구별 못하는 수가 종종 있습니다. 따라서 이러한 경우에는 갑상선 미세침흡인 세포검사를 반복하거나 임상적인 여러 소견을 종합하여 결정을 내려야 합니다.
양성종양이란 단순한 종양을 의미하며 그대로 내버려 두어도 생명에는 지장이 없으며 목 앞에 혹이 튀어나와 있어 외관상 보기가 좋지 않을 수 있습니다. 갑상선 양성종양은 신체에 아무런 해를 미치지 않으므로 특별한 치료가 필요치 않을 수 있으나 시간이 지나면서 서서히 자라나 경우에 따라서는 주위조직을 압박하거나 외관상 문제가 될 수 있습니다.

따라서 이러한 경우에는 갑상선호르몬을 투여하여 결절의 성장을 억제하는 치료가 필요할 수 있습니다. 6개월 이상 갑상선호르몬 치료를 하면 약 1/3의 환자에서 종양의 크기가 감소하게 됩니다. 그러나 약 2/3의 환자에서는 결절의 크기가 줄어들지 않지만 갑상선호르몬 치료로 최소한 결절이 더 커지는 것은 막을 수 있습니다. 갑상선호르몬에 의한 부작용은 적당량만 복용하면 거의 없습니다.
일부 환자에서는 갑상선호르몬을 복용하여도 갑상선 결절이 더 커지는 경우가 있는데 이러한 경우에는 갑상선 미세침흡인세포검사를 실시하여 갑상선암의 가능성을 확인하여야 합니다.
100명의 갑상선 종양 환자 중 약 95명은 양성종양 환자인 반면 약 4-5명은 갑상선암 환자입니다. 여성암 중 갑상선암은 유방암, 위암, 자궁경부암에 이어 4위를 차지하고 있으며 특히 15-34세의 젊은 여성암 중 1위를 차지하고 있습니다.

대부분의 경우 아무런 증상이 없으나 간혹 암이 매우 커서 주위 조직을 압박하는 경우에 목에 이물감, 음식을 삼킬 때 걸리는 듯한 느낌, 목의 압박감이나 호흡곤란 등을 느낄 수 있습니다.
다음과 같은 소견이 있을 때는 갑상선암의 가능성이 높습니다.
갑상선암 치료의 원칙은 외과적 절제술로, 수술의 범위는 환자의 연령, 종양의 크기, 주위조직의 침범범위, 원격전이 유무 등을 고려하여 한쪽 엽 절제술에서부터 갑상선전적출술 및 경부 림프절절제술까지 다양하게 이루어집니다.
갑상선암의 예후는 일반적으로 흔히 위암, 간암, 폐암 등에 비해 월등히 좋아 다른 장기에 퍼질 경우도 장기간 생존하는 경우가 많습니다. 따라서 미분화암과 같이 특별한 경우 외에는 갑상선암에 걸렸다고 단기간내에 사망하는 경우는 거의 없습니다. 최근 보고에 따르면 갑상선유두암의 경우 10년 생존율이 90~95% 갑상선여포암은 80~90%에 이릅니다.