
MRI는 강력한 자장내에 흐르는 RADIO파와 원자핵의 자성, 경사자장, 등의 상호 작용에 일어나는 신호를 이용한다. 환자 자세의 움직임 없이 여러 가지 방향의 사진을 얻을 수 있고 또한 연부조직의 대조도가 우수하고, x-ray의 피폭 염려가 없으며 특히 충추신경계통의 질환 진단에 탁월한 효과가 있다.
심박 조율기나 인공 관절등 몸에 Fe성분을 삽입한 환자, 폐쇄 공포증이 있는 환자유의
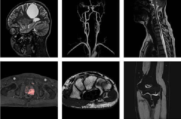
모든 부위 검사 가능
원통형의 갠트리 안에 누워 있고 라디오파가 환자의 몸에 가해지면 자기장에 의해 신체내부 의 일부 원자핵이 한줄로 늘어서게 된다. 그 후 전파가 핵에 전해지는데 전파의 진동수가 원자들의 진동수와 일치하면 공명현상이 생기고 이때 핵이 전파의 에너지를 흡수하게 된다.이때 핵들은 원래의 자리로 돌아가고 약한 무선신호 형태의 에너지를 방출하는데 이러한 신호들의 세기와 길이에 따라 여러 가지 상이 만들어지는데 이 신호들을 이용
- 심장박동기를 부착하신 분
- 신경자극기를 부착하신 분
- 금속물질을 체내에 이식하신 분
- 임신부(12주 이내)

자기공명영상검사는 자기장을 발생시키는 기계가 고주파를 발생시켜 인체에 보내면, 인체 내의 수소원자핵의 반응으로 발생되는 신호를 컴퓨터로 계산하여, 인체의 모든 부분을 영상화하는 검사 방법입니다. 자기공명영상은 고주파를 이용하는 검사이므로 인체에 사실상 해가 없는 비침습적 검사로 조영제를 사용하지 않아도 전산화단층촬영검사보다 조직 간의 대조도가 우수합니다. 특히 신경, 근육 등 연부조직에 대한 대조도가 높아 진단적 가치가 우수한 검사입니다. 오산한국병원이 도입한 독일 지멘스社 1.5T MRI는 기존의 MRI 보다 빠른 검사시간, 고해상도 이미지, 전신촬영, 기능적 검사 등의 기능을 자랑한다. 특히 이 MRI는 뇌기능 분석을 상세하게 해 준다.
