高血压是目前我国成年人中,15-20%发病,发病率较高, 即使出现脑中风、心肌梗塞、脑出血、肾功能衰竭等危险的并发症, 平时也没有症状,因此无法进行适当的治疗和管理。高血压是早期诊断和彻底的自我管理、药物疗法等,好好调整可预防危险的并发症, 决定维持舒适晚年生活的重要疾病。
高血压是由于种种原因可发生。但大部分(90%以上)无法了解特殊原因。这种情况为本态性高血压。血压上升的因素有遗传、年龄、性别、儿童肥胖、盐分、饮酒、吸烟、压力等。其中, 首先积极地管理可调整的部分是高血压治疗的一次目标。
高血压大部分无症状。常出现的头痛或流鼻血症状在多数情况下的出现。当然,很高的情况下也会出现。这一点成为高血压的可怕之处同时也是治疗难点。平时无症状因此不在意的晴空下却忽然因并发症来到医院的情况较多。代表性为脑中风、脑出血、心肌梗塞、慢性肾功能不全,主动脉剥离、视网膜出血及失明等。
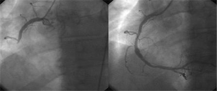
冠状动脉是随着围绕心脏的外侧, 供应心脏氧气和营养而维持心脏的功能的重要血管。冠状动脉疾病是此血管因粥状动脉硬化症而出现狭窄导致心脏肌肉的血流供应产生障碍,因此出现胸痛或呼吸困难等症状,严重时可能出现心脏麻痹、死亡。
冠状动脉疾病在西方已很久以前开始成为最常见的死亡原因,此外,最近在韩国随生活像西方化,其出现频率急剧增加趋势,其重要性和严重性日益凸显。
心脏的冠状动脉中发生粥状动脉硬化会导致血管变窄引起血流不通畅、心脏肌肉出现缺氧现象。氧气供应有限的情况下,肉体活动增加的氧气需求无法满足供应量而出现胸口疼痛,休息的情况下会慢慢好转。 胸痛大部分15分钟以内持续,休息或甘油三硝酸脂放到舌头底下会好转。除此之外,特别在年轻的年龄层中常发生,也会在晚上或凌晨发生变异型心绞痛。
稳定性心绞痛和急性心肌梗死症的中间阶段。平时胸痛次数越来越频繁,持续时间变长,静止不动时也会出现,包括急性心肌梗死症的发生危险性极大,因此应及时治疗。
冠状动脉突然严重变窄或堵塞导致其血管供应血液部位的心脏肌肉无法供应血液而发生心脏肌肉破坏的疾病。症状按堵塞的程度有可能发生胸痛、休克、心脏麻痹,甚至死亡。

心脏瓣膜疾病大照片 心脏由2个心房和2个心室组成的。 瓣膜位于心脏内,在血液流动中起到输入口作用。 由4个瓣组成,各个僧帽瓣、 三尖瓣疾病的原因可分为先天性和后天性。 先天性的情况来看,瓣膜的形状为先天性出生的, 后天性为从小患了类风湿性热之后,成年后发生瓣膜疾病或者随着年龄增长,退行性变化、石灰化而发生。瓣膜疾病可分别为瓣膜变窄的狭窄症、扩大而血流在后方漏的逆流症。
僧帽瓣膜狭窄症、僧帽瓣逆流症、大动脉瓣狭窄症、大动脉瓣回流症、三尖瓣膜逆流症等最常见的症状为呼吸困难。移动时,开始喘气,越来越严重时,休息也会出现症状, 甚至严重得无法入睡。还会出现心绞痛等心脏疼痛, 心律不齐的房颤、下肢浮肿等。
人的心脏一般为1分中跳动60∼100次。100次以上的情况为脉频,60次以下的情况为缓脉。心律不齐是指不正常脉搏的所有心脏搏动。
心律不齐的症状最常见为心悸。除此之外,头晕或昏厥,呼吸困难、罕见的情况也出现猝死。心悸并不都是心律不齐。患者出现症状,大都是正常情况。心律失常的诊断中最重要的是心电图。出现症状时的心电图诊断最为重要。 但一般检查时心电图为正常情况较多。
因此,如果出现症状时,立即去附近的医院进行心电图确认心律失常,这对于诊断最有帮助。病人出现症状,但客观心电图无记录等情况,通过各种检查进行诱发检查。其种类有心电图、24小时挂脖检查、运动负荷心电图检查、起立经检查、此外,还有最精密的检查电生理学检查。