
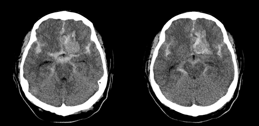
수술전 뇌CT 영상에서 뇌지주막하출혈 소견이 보임

CT 혈관조영술상 뇌동맥류 발견

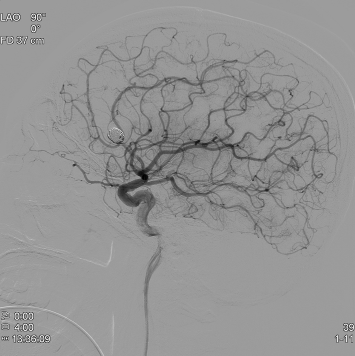
뇌혈관조영술로 동맥류에 대해 정밀검사

혈관내 코일색전술을 통해 개두술 없이 동맥류를 치료함

뇌MRA 와 뇌혈관조영술에서 좌측내경동맥의 심한 협착이 보임

성형술과 스텐트 삽입술을 시행하여, 우측의 수술전 사진과 비교시, 혈관을 넓혀주어 추가적인 뇌경색을 예방

뇌CT에서 뇌지주막하출혈 소견이 보임

CT혈관조영술에서 우측 중대뇌동맥에 뇌동맥류 발견

결찰술후 시행한 CT에서 클립을 확인할 수 있음

CT혈관 조영술과 뇌혈관조영술에서 좌측 중대뇌동맥의 폐색이 보임

혈관내 수술 기법으로 혈관안에 있는 혈전을 제거

수술전 사진과 비교시, 사라졌던 혈행이 되살아남

수술전 CT혈관조영술에서 전교통동맥의 비파열성 뇌동맥류 발견

혈관내 코일색전술 후 동맥류 내부에 코일이 들어가 있는 모습