박 성 규 주임과장
제1 정형외과전문진료분야 척추 질환 및 외상, 노인 질환 및 손상, 골절, 관절 내시경, 비수술적 치료
| 구분 | 월 | 화 | 수 | 목 | 금 | 토 |
|---|---|---|---|---|---|---|
| 오전 | 진료 | 수술 | 진료 | 수술 | 진료 | 순환진료 |
| 오후 | 수술 | 진료 | 수술 | 진료 | 수술 |
인사말
오산 한국병원에서 벌써 10년째 정형외과와 척추센터에서 진료를 담당하고 있는 정형외과 전문의 박성규입니다.
전문의 취득 후 원광대학교(관절센터) 및 서울대학교(척추센터)에서 2번의 전임의 과정을 거치고 의과대학에서 의대 교수로 근무하던 중, 2008년 인연이 닿아 오산 한국병원에 부임한 이래로 벌써 거의 10년째 오산 시민 및 인근 지역 환자분들과 함께 하고 있습니다.
제가 이렇게 오랜 기간동안 한 지역병원에서 꾸준히 진료를 할 수 있었던 이유는, 변화와 도전을 두려워하지 않고 항상 발전하려 노력하는 한국병원의 시스템과, '환자에게 정확한 진단과 적정한 치료를 최고의 질과 최선의 노력으로 제공해야 한다'는 개인적인 원칙을, 방문해주신 많은 환자분들께서 신뢰해 주셨기 때문이라 굳게 믿습니다
이에 안주하지 않고 다양한 학회와 세미나 참석, 대학병원 컨퍼런스 활동, 논문 및 저술 연구 등을 통하여, 더욱 더 양질의 진료를 할 수 있는 실력을 갖도록 노력을 하고 있습니다.
앞으로도, '정확한 진단 과 적정한 치료'라는 원칙을 통해, 다양한 분야의 진료는 물론 각종 관련 상담이 필요한 모든 환자분들에게, 과하지도 부족하지도 않은 양질의 진료가 되도록 최선을 다하겠습니다.
감사합니다.
- 정형외과 전문의, 의학석사
- 서울대학교 관절센터, 척추외과 전임의
- 원광대학교 의과대학 정형외과 교수
- 대한 정형외과 학회 정회원
- 대한 척추외과 학회 정회원
- 아시아-태평양 최소침습 미세수술 척추학회 정회원
- 원광대학교병원 정형외과 외래교수
- 서울대학교병원 정형외과 임상자문의
논문자료
발행논문 - 국내
1. 하방 관절낭 이동술을 이용한 다방향 견관절 불안정의 치료. Treatment of Multidirectional Instability of the Shoulder with Inferior Capsular Shift. 이병창,전철홍,박성규. 대한견주관절학회지 Year : 2000, Volume : 3, Number : 2, page : 79 ~ 86
2. 슬관절 반월상 연골판-관절낭 파열의 자기공명영상 소견. MRI maging of the Meniscocapsular Tear of the Knee. 전철홍,박성규,정선관. 대한슬관절학회지 Year : 2001, Volume : 13, Nuber : 1 page: 74 ~ 78
3. 요추 추간판 탈출증 환자의 방사통에 대한 표현 양상. Descriptive Patterns of Radiating Pain for Lumbar Herniated Intervertebral Disc. 박성규,심대무,이원구. 대한척추외과학회지 Year : 2003, Volume : 10, Number : 3, page : 217 ~225
4. 제 1 경추 외측괴 나사와 제 2 경추 협부 - 척추경 나사의 적정궤도. Optimal Trajectories of C1 Lateral Mass Screws and C2 Pars-Pedicle Screws. 이동호,염진섭,권윤주,유승민,박성규,안영희,박건우,송광섭,김형민,김철영,장봉순,이춘기. 대한척추외과학회지 Year : 2004, Volume : 11, Number : 4, page : 202 ~ 209
5. 요추 외측 추간판 탈출증의 진단: 자기공명영상의 가치에 대한 재평가. Diagnosis of Lumbar Lateral Disc Herniation: Value of Magnetic Resonance Imaging Revisited. 박성규,염진섭,이춘기,장봉순,이재학,이재협,원종화,김성현. 대한척추외과학회지 YEAR : 2005, Volume : 12, Number : 1, page 28~38
6. 경피적 천장관절 나사 고정술 지원용 로봇암 형 영상 유도장치의 개발 및 정확도 평가. Development and Accuracy Test of a Robot-arm Type Image-guided Surgery System for Percutaneous Screw Fixation of the Sacro-iliac Joint. 염진섭,최원식,김하용,강종원,이광원,김환정,안재훈,박성규,원종화,김형민,김남국. 대한골절학회지 Year : 2005, Volume : 18, Number : 2, page : 191 ~ 197
7. 컴퓨터 시뮬레이션의 도움을 받아 제1-2 경추간 유합술의 개정술로 시행한 나사-강봉 고정술 -증례보고- C1-2 Fixation Using Polyaxial Screws and Rods Assited by Computer Simulation for Revision of Failed Posterior Fusion - A Technical Report -. 박성규,염진섭,원종화,이재철,이동호,이지호,장봉순,이춘기. 대한정형외과학회지 Year : 2005, Volume : 40, Number : 6, page : 778 ~781
8. 관절하 나사: 제 2 경추 나사의 새로운 궤도 The Subarticular Screw : a New Trajectory for the C2 Screw. 원종화,박성규,권유주,유승민,안영희,정재윤,이지호,장봉순,이춘기 대한척추외과학회지 Year : 2006, Volume : 13, Number : 2, page : 75 ~80
9. 척추성형술에서 적절한 바늘 위치 선정을 위한 두가지 간단한 검사. Two Simple Tests for Adequate Needle Positioning in Vertebroplasty. 원종화,염진섭,박성규,이지호,장봉순,이춘기 대한척추외과학회지 Year : 2006, Volume : 13, Number : 2,page : 75 ~ 80
10. 광배근 절개 없이 경흉 도달법을 이용한 상부 흉추 추간판 탈출증의 치료 - 술기보고-.
Treatment of Upper Thoracic Disc Herniation Using Transthoracic Approach without Division of Latissimus Dorsi - Technical Note - 심대무,김정우,박진영,양환덕,박성규,권석현,정을오,김봉규 대한척추외과학회지 Year : 2006, Volume : 13, Number : 3,page : 200 ~ 204
11. 척추동맥의 중복 기형을 동반한 제 1-2 경추간 불안전증. C1-2 Instability associated with Duplicated Vertebral Artery. 심대무,김정우,박진영,양환덕,박성규,권석현,정을오,김봉규 대한척추외과학회지 Year : 2006, Volume : 13, Number : 3,page: 200 ~ 204
12. 요추 추간판 수술과 관련된 정형외과와 신경외과 병의원 홈페이지에 대한 비교 분석.
Analysis of Homepages Relating to Lumbar Disc Surgery in Orthopaedic and Neurosurgical Hospitals. 심대무,정을오, 김태균,김정우,박진영,권석현,박성규,최병산. 대한정형외과학회지 Year : 2008, Volume : 43, Number : 2, page : 166 ~ 170
13. 요추 추간판 탈출증에 대한 웹사이트 정보의 질 평가. Evaluation of Quality of Website Information about Lumbar Herniated Intervertebral Disc. 심대무,정을오,김태균,박진영,박성규,김창수 대한정형외과학회지 Year : 2007, Volume : 42, Number : 2, page : 249 ~ 254
14. 경막내 척수종양의 수술적 치료. Surgical Treatments of Spinal Intradural Tumor. 심대무,박진영,박근호,김태균,박성규,양정환,김종윤 . 대한정형외과학회지 Year : 2008, Volume : 43, Number : 3,page : 353 ~ 358
발행논문 - 국외
1. Inter - and intra - observer reliability of MRI fOR lumbar lateral disc herniation. clinics in Orthopedic Surgery. Seong Wan Kim, Jin S. Yeom, Seong Kyu Park, Bong Soon Chang, Dong-Ho Lee, Jae Hyup Lee, Kun-Woo Park, Eun Seok Seo. Choon-Ki Lee . Clinics in Orthopedic Surgery 2009: 1; 34-39
이 진 현 과장
제 2 정형외과전문진료분야 관절경수술, 인공관절, 견주관절, 스포츠의학, 족부 및 수부질환
| 구분 | 월 | 화 | 수 | 목 | 금 | 토 |
|---|---|---|---|---|---|---|
| 오전 | 진료 | 수술 | 진료 | 수술 | 진료 | 순환진료 |
| 오후 | 수술 | 진료 | 수술 | 진료 | 수술 |
인사말
안녕하십니까?
정형외과 전문의 이진현 과장입니다.
저는 전문의 취득 후 견주관절 관절경 수술 전문 병원에서 전임의 과정을 거쳐
오산한국병원에 부임하게 되었습니다.
본원 정형외과는 어깨, 무릎, 손발, 척추 등 다양한 진료를 제공하고 있으며 각 분야 전문의가 환자 개개인에게 더욱 맞춤화된 의료 서비스를 제공하고 있습니다. 몸의 관절은 206개의 뼈와 함께 다양한 부위에서 몸을 지탱해나가는 만큼 문제 발생 시 각 관절 부위별 전문의가 정확한 진단과 치료를 진행하는 것이 중요합니다.
환자의 아픈 몸에 대해 확실한 진단 및 치료를 할 뿐만 아니라, 마음과 걱정까지 어루만지는, 따뜻한 위안을 드릴수 있는 진료를 제공하도록 더욱 노력하겠습니다.
감사합니다.
- 차의과학대학교 의과대학 졸업
- 분당차병원 정형외과 전문의
- 마디병원 관절경 전임의
- 항공전문의사 자격증 취득
- 국제관절경스포츠의학(ISAKOS)정회원
- 대한정형외과 정회원
- 대한견주관절학회 정회원
- 대한슬관절학회 정회원
- 대한정형통증의학회 TPI 교육 이수
- 국제 ESWT 자격증 취득
논문
1. Repairing the annular ligament is not necessary in the operation of Mason type 2, 3 isolated radial head fractures if the lateral collateral ligament is intact: Minimum 5 years follow-up. (Injury. 2013)
2. Traumatic and non-traumatic isolated horizontal meniscal tears of the knee in patients less than 40 years of age
(European Journal of Orthopaedic Surgery & Traumatology, 2013)
3. Open reduction and internal fixation for intraarticular volar fractures of the middle phalanx in proximal interphalangeal joint
(Journal of Korean Soc Surg Hand. 2014)
염 지 웅 과장
제 3 정형외과전문진료분야 슬관절, 고관절, 견관절, 관절경, 인공관절, 골다공증
| 구분 | 월 | 화 | 수 | 목 | 금 | 토 |
|---|---|---|---|---|---|---|
| 오전 | 수술 | 진료 | 수술 | 진료 | 수술 | 순환진료 |
| 오후 | 진료 | 수술 | 진료 | 수술 | 진료 |
인사말
안녕하십니까?
오산한국병원 정형외과 전문의 염지웅입니다.
환자의 눈높이에서 설명하는 진료를 선보이겠습니다.
-조선대의대 의학과
-분당서울대학교병원 관절센터 임상강사
-분당서울대학교병원 관절센터 외래교수
-서울대학교병원 임상자문의
-전) 서울성애병원 과장
-근막통증유발점 주사자극치료(TPI)수료
-대한정형외과학회 정회원
-대한슬관절학회 정회원
-대한견주관절학회 정회원
-대한고관절학회 정회원
-대한골절학회 회원
조 경 준 과장
제 5 정형외과전문진료분야 고관절, 슬관절, 족관절, 인공관절 및 관절경, 골다공증
| 구분 | 월 | 화 | 수 | 목 | 금 | 토 |
|---|---|---|---|---|---|---|
| 오전 | 수술 | 진료 | 수술 | 진료 | 수술 | 순환진료 |
| 오후 | 진료 | 수술 | 진료 | 수술 | 진료 |
인사말
- 고려대학교 생명과학과 졸업
- 경희대학교 의학전문대학원 졸업
- 서울성심병원 정형외과 전문의
- 삼성서울병원 관절센터 임상강사
- 대한 정형외과학회 정회원
- 대한 고관절학회 정회원
- AO Trauma course 이수
- AO Recon course 이수


- 신경외과, 정형외과, 재활의학과, 마취통증의학과, 영상의학과의 협진체계
- 협진체계의 확립으로 인한 당일 수술 가능 (질환에 따라)
- 수술 후 마취통증의학과와 재활의학과의 협진으로 통증조절 및 물리치료 가능
- 정형외과
관절염, 인공관절 및 관절내시경 수술, 골절의 진단과 치료, 탈구, 인대손상, 각종 외상 및 근골격계 질환
- 마취통증의학과
일반마취, 부분마취, 정맥마취, 통증치료
- 재활의학과
통증치료 및 물리치료
- 영상의학과
CT,MRI 촬영 및 영상판독
월 ~ 금 : AM 09:00 ~ PM 6:00
점심시간 : PM : 13:00~ PM : 14:00
토 요 일 : AM 08:30 ~ PM 13:00
병원 대표번호 1566 – 3534

| 구분 | 월 | 화 | 수 | 목 | 금 | 토 |
|---|---|---|---|---|---|---|
| 오전 | 진료 | 수술 | 진료 | 수술 | 진료 | 순환진료 |
| 오후 | 수술 | 진료 | 수술 | 진료 | 수술 |

| 구분 | 월 | 화 | 수 | 목 | 금 | 토 |
|---|---|---|---|---|---|---|
| 오전 | 진료 | 수술 | 진료 | 수술 | 진료 | 순환진료 |
| 오후 | 수술 | 진료 | 수술 | 진료 | 수술 |

| 구분 | 월 | 화 | 수 | 목 | 금 | 토 |
|---|---|---|---|---|---|---|
| 오전 | 수술 | 진료 | 수술 | 진료 | 수술 | 순환진료 |
| 오후 | 진료 | 수술 | 진료 | 수술 | 진료 |
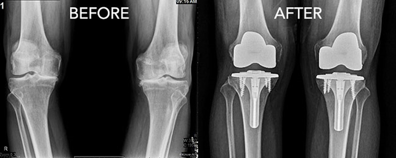
관절 건강에는 젊었을 때 바른 자세와 적절한 운동 그리고 좋은 식생활이 중요합니다.
당뇨, 고혈압, 골다공증이 있는 고령 환자는 관절이 염증으로 부어 아프고 소리가 나며 연골이 닮고 관절염이 심해질 수 있으며 가벼운 충격에도 관절 주변에 골절이 발생합니다.
관절이 붓고 아프고 소리가 나는 신호를 보낼 때 병원에 오셔서 진찰 받으신 후 적절한 염증에 대한 약물, 주사치료, 물리 재활치료 등 전문적 진단 및 치료로 자기 관절을 사랑하여 오래오래 아프지 않게 함께 할 수 있도록 해야 합니다.










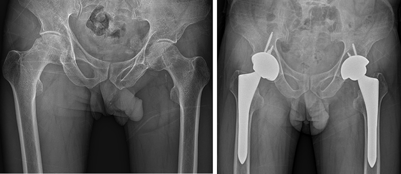
O자로 휜 다리는 방치할 경우 무릎 관절염으로 이어질 우려가 크고 장기간 지속되면 골반과 허리에도 무리가 되어 척추 질환을 유발하기도 합니다. 고관절 중심에서 발목 중심을 이은 선을 하지의 축이라고 하는데 보행시 체중이 가해지는 선입니다. 축이 무릎의 중앙이 아닌 안쪽을 지나게 되고 무릎 안쪽이 체중 부하를 많이 받아 관절연골이 손상되고 관절 간 간격도 좁아지면서 퇴행성 관절염이 발생하기 쉽습니다.
하지의 축을 내측에서 외측으로 옮겨주어 손상되지 않은 건강한 바깥쪽 연골에 체중을 더 부과시켜 관절염을 치료하는 ‘경골근위부절골술’이 효과적입니다. 이 수술은 흔히 ‘휜다리 교정술’이라고도 부르는데 휜 다리를 교정함으로써 관절염을 치료하는 수술법으로 주로 60세 미만의 활동적인 환자에게 적합하며 인공관절없이도 관절염의 치료가 가능하며 다리 모양 또한 일자로 바르게 바뀌어 환자들의 만족도가 큰 치료법입니다.

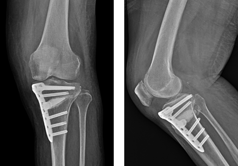
특히 젊은 사람 중에는 운동중 부상이나 교통사고로 관절의 십자인대, 연골이 다쳐서 아픈데도 제때 치료를 받지 않고 참아서 관절이 망가져 못쓰게 되는 경우가 있습니다.
몇 개월이 지나서 회복하기 힘든 장애가 동반된 후에야 병원 진료를 받으러 오는 경우 의사의 입장에서는 매우 안타까우며 결국 손상후 문제점이 발견될 때 즉시 적절한 진료 및 약물치료, 물리치료, 관절경 수술 등 적절한 치료를 제 때 받아야 합니다.

- 전방십자인대 파열의 기전: 체중 부하+비틀림
- 증상: 뚝하는 느낌, 소리, 수상 후 심한 부종, 통증, 혈관절증, 무릎의 불안정한 느낌
- 반드시 인대재건술 필요하며 수술을 하지 않으면 반월상 연골 파열, 관절연골 손상이 유발




자가 연골을 한달 이상 배양하여 다시 관절 속으로 이식하거나 타인의 연골, 인대를 이식하여 관절을 원상 복귀시키는 수술


회전근개는 어깨를 움직이는 근육으로 상완골두에 붙어 상완골을 움직임으로써 어깨를 움직입니다. 회전근개의 힘줄이 지나는 공간이 다양한 원인으로 좁아지면 통증이 발생하고 좁아진 상태가 지속되면 점차 점액낭염, 회전근개 파열이 발생합니다.



어깨 관절의 회전근개 힘줄에 석회성분이 침착되어 염증반응을 일으키는 질환으로 청장년층에 호발합니다.
1. 갑자기 발생하는 심한 통증
2. 진행되면 통증이 잠을 자지 못할 정도로 심해짐
3. 극심한 통증 이외에도 운동제한, 걸리는 느낌


그림 1. 관절 내시경: 석회 침착 및 주변부의 염증 소견
그림 2. 관절경적 석회제거술
그림 3. 석회제거후 남아있는 회전근개의 결손
그림 4. 회전근개 결손에 대해 봉합술 시행