김 영 준 명예원장
신경외과전문진료분야 뇌혈관내수술
| 구분 | 월 | 화 | 수 | 목 | 금 | 토 |
|---|---|---|---|---|---|---|
| 오전 | 진료 | 진료 | 진료 | 진료 | ||
| 오후 | 수술 | 수술 | 수술 |
인사말
환자분들의 신뢰를 얻을 수 있는 치료를 위해 항상 노력하는 자세로 임하겠습니다.
- 단국대학교 의과대학 신경외과 주임교수
- 단국대학병원 신경외과장
- 단국대학병원 뇌혈관내수술팀장
- 미국 UCLA 의대 연구교수
- 대한뇌혈관내수술학회 회장
- 대한신경외과학회 교과서 편찬위원장
- 세계신경외과학회 간행위원장
● [대표논문]
- 뇌동맥류의 수술적치료를 받은 60세전후의 연령군에서의 뇌동맥류의 예후에 대한 비교연구
- 두개강내 확장을 동반한 비강신경세포종:증례보고
- LINAC을 이용한 전이성 뇌종양의 방사선 수술
- 림프구성 뇌하수체염 : 증례보고
- 팽창성 cage를 이용한 후방 요추체간 융합술: 초기결과 보고
- 파열된 중대뇌동맥 동맥류에 대한 수술적 경부결찰술과 코일 색전술간의 치료결과 비교
- Endovascular coiling of multiple intracranial aneurysms more than 4
- GDC embolization for intracranial aneurysms with mass effect by subdural hematoma
- Broad indications of aneurysm coiling
- GDC를 이용한 뇌동맥류 혈관내 색전술 시술중 합병증 분석
- 뇌동정맥기형에 대한 선형가속기 방사선수술
- Temporary hidden aneurysms during pregnancy
- \"Misery Collaterals\" as Poor Angiographic Findings - Definition, Classification, and Practical Application 등 100여 편
● [저서]
뇌동맥류혈관내수술
뇌혈관내수술의 Do's & Don'ts
Chymopapain Injection for Herniated Lumbar Disc
신경외과학(114명 공저)
학생과 전공의를 위한 신경외과 교과서(공저)
김 라 선 진료부장
신경외과전문진료분야 뇌혈관질환(뇌동맥류, 뇌혈관협착), 두통, 뇌종양, 뇌혈관중재술
| 구분 | 월 | 화 | 수 | 목 | 금 | 토 |
|---|---|---|---|---|---|---|
| 오전 | 진료 | 수술 | 진료 | 수술 | 진료 | 순환진료 |
| 오후 | 수술 | 진료 | 수술 | 진료 | 수술 |
인사말
안녕하십니까 신경외과 2과장 김라선입니다.
전문진료분야는 뇌혈관 질환, 뇌종양, 뇌혈관 중재수술 전문, 뇌혈관 현미경 수술과 신경외과 진료를 맡고 있습니다.
뇌혈관분야는 뇌출혈과 뇌경색이 주 치료 대상이며, 경우에 따라 약물단독 요법이나 수술치료를 병행합니다. 뇌동맥류나 혈관기형, 뇌동맥 폐색의 경우 개두술 없이 혈관내수술을 통해 치료하기도 하고 원인에 따라서는 개두술 후 미세현미경술법을 이용하여 원인병소를 제거하는 치료를 합니다.
또, 뇌혈관 분야에서 최고수준의 확진을 위한 뇌혈관조영술도 시행하고 있습니다.
진료 또는 건강검진을 통해 뇌혈관 질환이 진단 되었다면 저희 오산한국병원 신경외과를 방문해 주십시요. 환자에게 맞춤 치료법, 꼭 필요한 정보를 전달하여 알맞는 치료를 진행하도록 하겠습니다.
항상 친절하게 정확한 진료를 할 수 있도록 최선을 다하겠습니다.
감사합니다.
<경력>
- 현 오산시의사회 부회장
- 뇌혈관내수술 인증의
- 순천향대 서울병원 조교수 (신경외과 뇌혈관분과)
- 근로복지공단 자문의사
- 보험개발원 출제위원
- 병무청 징병전담의사
- 신경외과 전문의
<학회활동>
- 대한뇌혈관내수술학회
- 대한뇌혈관외과학회
- 대한수술중신경감시연구회
- 대한뇌졸중학회
- 대한노인신경외과학회
- 대한신경중환자학회 종신회원
- 대한신경손상학회 종신회원
<저서>
- 신경계통학(수두증 및 신경계기형), 순천향대학교출판부, 2015년
- 신경손상학(제10장 뇌신경손상), 대한신경손상학회, 2014년
<논문자료>
1. Comparative Analysis of Efficacy and Safety of Multisession Radiosurgery to Single Dose Radiosurgery for Metastatic Brain Tumors, Brain Tumor Res Treat. 2015 Oct;3(2): 95-102
2. Unexpected Severe Brain Edema after Cranioplasty: Case Report and Literature Review, J Korean Neurosurg Soc. 2015 Jul; 58(1): 76-78
3. Surgical Experience of Brachial Plexus Injury, The Nerve 2015; 1(1): 6-10
4. Crowned Dens Syndrome: A Case Report and Review of the Literature, Korean J Spine 2014 Mar; 11(1):15- 17
5. The Current Analysis of the Risk Factors for Bone Graft Infection after Cranioplasty, Korean J Neurotrauma 2013 Oct; 9(2): 57-63
6. Risk Factors for Reoperation after Traumatic Intracranial Hemorrhage, Korean J Neurotrauma 2013 Oct; 9(2): 114-119
7. Minimum 3-Year Outcomes in Patients with Lumbar Spinal Stenosis after Bilateral Microdecompression by Unilateral or Bilateral Laminotmy, J Korean NeurosurgSoc. 2013 Sep; 54(3); 194-200
8. Morphometric study of hypoglossal nerve and facial nerve on the submandibular region in Korean, J Korean Neurosurg Soc. 2012 May; 51(5): 253-261
9. An Ideal Method of Calculating the Approved Period of Disabilithy, Korean J Neurotrauma 2012 Apr; 8(1); 10-14
10. A case of Intraosseous Dural Arteriovenous Fistulas Involving Diploic Vein Treated with Transarterial Onyx Embolization, J Korean Neurosurg Soc. 2011 Sep; 50(3): 260-263
11. Estimation of the Life Expectancy for the Posttraumatic Epilepsy in Korea, J Korean Neurotraumatol Soc. 2011 Apr; 7(1): 8-11
12. A Method for Estimation of the Life Expectancy for the Persistent Vegetative State and Minimally Conscious State after Craniocerebral Trauma in Korea, J Korean Neurotraumatol Soc. 2010 Dec; 6(2); 110-115
13. Concepts and Controversial Issues of the Disability Evaluation, J Soonchunhyang Med Sci. 2010; 16(2): 205-209
14. Outcome of Severe Acute Subdural Hematoma, J Korean Neurotraumatol Soc. 2009 Jun; 5(1): 1-4
15. Significance of an Early Clinical Course during the External Ventricular Darinage in Thalamic Hemorrhage, J Korean Neurosurg Soc. 2004 Jan; 35(1): 81-87
16. Persistent Trigeminal Artery Aneurysm Treated with Guglielmi Detachable Coils, 2003 Nov; 34: 467-469
17. Incidence and Pathophysiology of Cerebral Hemorrhagic Stroke in the Elderly, Kor J Cerebrovascular Surgery, 2002; 4(1): 23-26
김 형 석 과장
신경외과전문진료분야 뇌졸중, 뇌출혈, 뇌경색, 뇌동맥류, 뇌혈관기형, 두부외상
| 구분 | 월 | 화 | 수 | 목 | 금 | 토 |
|---|---|---|---|---|---|---|
| 오전 | 수술 | 진료 | 수술 | 진료 | 수술 | 순환진료 |
| 오후 | 진료 | 수술 | 진료 | 순환진료 | 진료 |
인사말
안녕하십니까?
지역주민의 정신적 육체적 건강을 유지하고 행복한 삶을 영위할 수 있도록 첨단 의료시설을 갖추고 수준 높은 참된 인술과 무한한 사랑을 실천하며 환자 중심의 맞춤 진료 서비스를 제공하고 있습니다.
생명을 최우선으로 하며 고객과 소통하고 모든 환자에게 사랑, 감동, 행복을 드리며 변함없는 신뢰를 받는 최선의 진료를 제공하도록 더욱 노력하겠습니다.
감사합니다.
- 의학박사
- 경희의료원 신경외과 전문의
- 경희의료원 신경외과 전임교수
- 대한신경외과학회 정회원
- 대한척추외과학회 정회원
- 대한 뇌혈관학회 정회원
연구논문
● 청신경추종의 감마나이프 방사선 수술
- 작은 크기의 병변에 대한 치료결과
경희대학교 대학원 의학과 2005
● 급성 고혈당 백서모델에서 반복적 재관류 손상에 대한 연구
경희대학교 대학원 의학과 2010
● 항응고제 사용후 발생한 경추부 경막외 출혈 : 경희의학 2003년
손 명 진 과장
신경과전문진료분야 척수, 근육 및 말초신경질환, 뇌혈관질환, 두통, 어지럼증, 뇌전증, 치매
| 구분 | 월 | 화 | 수 | 목 | 금 | 토 |
|---|---|---|---|---|---|---|
| 오전 | 진료 | 진료 | 진료 | 진료 | 진료 | 순환진료 |
| 오후 | 진료 | 진료 | 진료 | 진료 | 진료 |
인사말
안녕하십니까.
오산한국병원 신경과 과장 손명진입니다.
신경과에서는 뇌와 척수로 대표되는 중추신경계와 신경뿌리, 신경총, 개별신경 및 근육을 포함한 말초신경계에 대한 전반적인 질환을 다루고 있습니다.
환자분들을 항상 제 가족처럼 소중히 대하고,
더불어 치료에 최선을 다한다는 마음으로 진료에 임하겠습니다.
감사합니다.
- 원광대학교 의학과 졸업
- 한림대학교동탄성심병원 인턴
- 한림대학교동탄성심병원 신경과 전공의
- 진안군의료원 신경과 과장
- 아주대학교병원 신경과 임상강사
- 대한신경과학회 정회원
- 대한신경근육질환학회 정회원
- 대한임상신경생리학회 정회원
- 임상신경생리 인증의
발행논문
Infected Dentigerous Cyst Masquerading as Recurrent Trigeminal Neuralgia. Son MJ, Choi SW, Kim MK, Kwon KH, Kim JY, Cho SJ, Kang SY, Shin MR, Kang JY. Korean Journal of Headache 17(1):10-12, 2016
Irukandji-Like Syndrome after Jellyfish Sting. Son MJ, Kim MK, Im SY, Cho SJ, Kim JY, Kwon KH, Kang SY. J Pain Auton Disord 2014;3:88-90
Two Cases of Hallucination after Administration of Tramadol. Son MJ, Choi SW, Hong YH, Lee HC, Yoo JH, Sung KH, Jang MU, Cho SJ, Kim JY, Kwon KH, Kang SY. J Pain Auton Disord Vol. 6, No. 1 2017
Clebopride-Induced Parkinsonism. Lee CY, Choi B, Hwangbo S, Son MJ, Lee MW, Yoo JH, Sung KH, Cho SJ, Kim JY, Kwon KH, Kang SY. J Korean Neurol Assoc 34(3):261-263, 2016 (공저)
An Isolated Skull Lesion in Syphilis. Seong GH, Lee J, Choi SW, Hong Y, Son MJ, Shim JW, Kim JY, Kang SY. Headache. 2018 Jul;58(7):1122-1124. (공저)
양 지 혜 과장
신경과전문진료분야 치매, 뇌혈관질환, 두통, 어지러움, 파킨슨
| 구분 | 월 | 화 | 수 | 목 | 금 | 토 |
|---|---|---|---|---|---|---|
| 오전 | 진료 | 진료 | 진료 | 진료 | 진료 | 순환진료 |
| 오후 | 진료 | 진료 | 진료 | 진료 | 진료 |
인사말
안녕하십니까?
지역주민의 정신적 육체적 건강을 유지하고 행복한 삶을 영위할 수 있도록 첨단 의료시설을 갖추고 수준 높은 참된 인술과 무한한 사랑을 실천하며 환자 중심의 맞춤 진료 서비스를 제공하고 있습니다.
생명을 최우선으로 하며 고객과 소통하고 모든 환자에게 사랑, 감동, 행복을 드리며 변함없는 신뢰를 받는 최선의 진료를 제공하도록 더욱 노력하겠습니다.
감사합니다.
- 가톨릭중앙의료원 신경과 전문의
- 서울성모병원 신경과 전문의
- 대한신경과학회 정회원
- 대한뇌졸중학회 정회원
- 대한두통학회 정회원
김 나 희 과장
신경과전문진료분야 뇌혈관질환, 두통, 어지럼증, 뇌전증, 치매, 신경과 전반
| 구분 | 월 | 화 | 수 | 목 | 금 | 토 |
|---|---|---|---|---|---|---|
| 오전 | 진료 | 진료 | 진료 | 진료 | 진료 | 진료 |
| 오후 | 진료 | 진료 | 진료 | 진료 |
인사말
안녕하십니까.
병원을 찾아주시는 환자의 쾌유와 편의를 위해, 내 가족을 치료하는 진정성 있는 마음으로 정확한 진단과 적절한 치료를 하도록 최선을 다하겠습니다.
- 조선대학교 의학전문대학원 졸업
- 한림대학교 성심병원 수련의
- 대한신경과학회 정회원
- 대한뇌졸중학회 정회원
- 대한두통학회 정회원
뇌혈관 질환은 발생 초기의 ‘골든타임’ 이내 진료가 최대한 신속하게 치료가 이뤄져야 하는 질환입니다. ‘골든타임’은 뇌혈관질환의 소개에서 빠질 수 없는 단어이고. 뇌혈관질환의 진단과 치료가 얼마나 신속하고, 정확하게 이루어져야 하는지를 극명하게 말해줍니다.
뇌혈관센터는 뇌혈관질환의 발생 초기에 신속한 치료를 위하여 신경외과, 신경과, 재활의학과, 응급의학과, 순환기내과, 영상의학과 등 다양한 분야의 전문의로 구성되어 조직화된 진료협력시스템을 구축하여 유기적인 협동을 통해서 빠른 진단과 최적의 치료를 시행하고 있습니다.
특히, 우리나라에서 매년 6만명 이상의 환자가 발생하는 뇌졸중은 심장에서 뇌로 향하는 모든 혈관에서 발생할 수 있습니다. 두통, 어지럼증, 의식저하, 마비, 언어장애 등의 증상이 발견되며, 진단에 따라 신속하게 약물치료와 필요시 수술적 치료를 진행합니다.신경학적 손상이 남아 있을 경우 재활치료를 함께 합시다.
뇌동맥류에 대한 혈관내수술과 개두술후 결찰술, 내경동맥 협착증의 풍선성형술 및 스텐트삽입술, 동정맥기형에 대해 오닉스 색전술, 급선뇌경색에서 약물을 이용한 혈전용해술과 기계적 혈전제거술, 두개내압항진시 감압개두술 등 다양한 치료를 시행하고 있습니다.

| 구분 | 월 | 화 | 수 | 목 | 금 | 토 |
|---|---|---|---|---|---|---|
| 오전 | 진료 | 수술 | 진료 | 수술 | 진료 | 순환진료 |
| 오후 | 수술 | 진료 | 수술 | 진료 | 수술 |

| 구분 | 월 | 화 | 수 | 목 | 금 | 토 |
|---|---|---|---|---|---|---|
| 오전 | 수술 | 진료 | 수술 | 진료 | 수술 | 순환진료 |
| 오후 | 진료 | 수술 | 진료 | 순환진료 | 진료 |

| 구분 | 월 | 화 | 수 | 목 | 금 | 토 |
|---|---|---|---|---|---|---|
| 오전 | 진료 | 진료 | 진료 | 진료 | 진료 | 순환진료 |
| 오후 | 진료 | 진료 | 진료 | 진료 | 진료 |

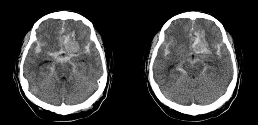
수술전 뇌CT 영상에서 뇌지주막하출혈 소견이 보임

CT 혈관조영술상 뇌동맥류 발견

뇌혈관조영술로 동맥류에 대해 정밀검사

혈관내 코일색전술을 통해 개두술 없이 동맥류를 치료함

뇌MRA 와 뇌혈관조영술에서 좌측내경동맥의 심한 협착이 보임

성형술과 스텐트 삽입술을 시행하여, 우측의 수술전 사진과 비교시, 혈관을 넓혀주어 추가적인 뇌경색을 예방

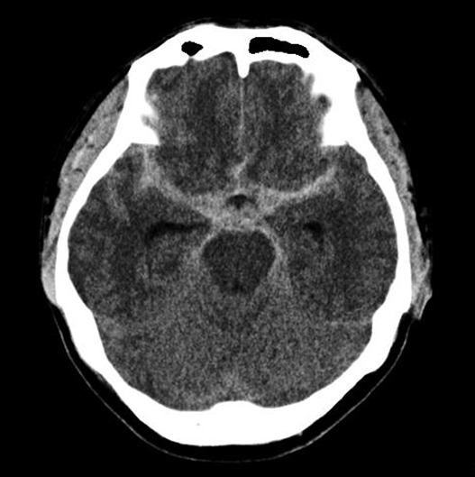
뇌CT에서 뇌지주막하풀혈 소견이 보임

CT혈관조영술에서 우측 중대뇌동맥에 뇌동맥류 발견

결찰술후 시행한 CT에서 클립을 확인할 수 있음

CT혈관 조영술과 뇌혈관조영술에서 좌측 중대뇌동맥의 폐색이 보임

혈관내 수술 기법으로 혈관안에 있는 혈전을 제거

수술전 사진과 비교시, 사라졌던 혈행이 되살아남

수술전 CT혈관조영술에서 전교통동맥의 비파열성 뇌동맥류 발견

혈관내 코일색전술 후 동맥류 내부에 코일이 들어가 있는 모습