최근들어 식생활의 변화로 간, 쓸개, 담낭관에 결석이 생기는 경우가 많습니다.
급성 상복부 통증 및 구토, 황달등으로 인하여 병원을 찾게 됩니다.
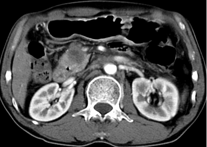
쓸개에 염증이 생기는 것을 담낭염(choecystitis)이라고 하며 대부분 담낭 결석과 연관이 있습니다.
이때는 일단 향생제 투여를 한뒤 염증이 가라않지 않으면 쓸개를 떼어내어야 하는데 주로 복강경을 이용하여 비교적 간단하게 시술이 이루어집니다.
특히 복강경수술은 수술후 통증이 개복술보다 훨씬 덜하고 회복시간도 짧으며, 흉터도 거의 남지 않습니다.
쓸개즙이 내려가는 길목이 막혀서 염증이 발생하는 것을 담관염(cholangitis)이라고 하는데 이때는 담낭염보다 훨씬 위험하고 빠른시간내 치료를 하지않으면 폐혈증으로 사망할 수 있습니다.
주로 돌이나 종양 때문에 담관이 막혀 염증이 발생하는데 담관염이 확인되면 먼저 응급으로 내시경을 이용하여 (ERCP) 쓸개즙을 배농시켜야하며 때에 따라서 막힌 부위를 뚫어 주어야합니다.
이러한 시술이 여의치 않으면 해상력이 좋은 초음파를 이용하여, 피부를 통하여 직접 담관에 관을 삽입해 쓸개즙과 염증을 배농시켜주어야 합니다.
이러한 단계적 시술후에도 충분히 배농이 안되거나 큰 결석이 나오지 않으면 복강경을 이용하여 담관내 결석을 제거하거나 종양 조직을 제거해 주어야 합니다.
본병원 간췌담도 클리닉은 소화기내과, 간췌담도 영상의학과, 간췌담도 외과전문의 선생님으로 구성되어 어떠한 경우에도 신속하고 정확한 진단 및 치료를 시행하고 있으며, 환자의 빠른쾌유를 위해 최선을 다하고 있습니다.
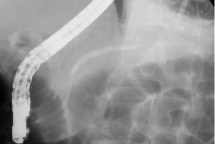
내시경 역행성 담췌관조영술(ERCP: endoscopic retrograde cholangiopancreatograpy)
현재 각종 담관 및 췌장 질환의 진단과 치료에 있어 내시경 시술이 필수적이며 실제로 담관 결석과 담석에 의한 췌장염의 치료는 대부분 내시경으로 치료를 하고 있다.
췌-담관 질환에서의 내시경 시술은 크게 두 가지의 술기가 조합된 검사법으로
첫째는 특수 제작된 내시경(십이지장경)을 식도, 위를 거쳐서 십이지장 제 2부까지 유치시키고, 췌-담관이 십이지장으로 개구되는 유두부를 찾아서 육안으로 관찰하고, 카테터(가느다란 관)를 내시경 내의 작업관을 통해 췌관 혹은 담관으로 삽관한다.
둘째는 삽관된 카테터로 방사선 조영제를 주입하여 담관 또는 췌관에 대해 방사선 투시 및 촬영을 하여 진단을 하고 필요하면 유두부를 절개하여 담관-췌관의 병을 치료하는 것이다. 이런 시술을 내시경 역행성 담도-췌관 조영술(ERCP)이라고 한다. 즉, 이 검사는 내시경 검사와 방사선 검사 둘 다를 포함한다. 따라서 ERCP를 시술하는 의사는 내시경 술기와 투시 조영술 모두에 전문가이어야 한다. 또한 ERCP를 이용한 중재적 시술은 상부소화관내시경 검사보다 시간이 더 걸리고 중증의 합병증 위험이 있어서 모든 내시경의사가 ERCP를 할 수는 없고 전문적인 수련 과정을 이수한 후에 시술을 하는 것이 바람직하다.
특별한 금기증이 없는 한 담관 또는 췌장질환이 의심될 때 본 검사를 시행할 수 있으며, 주요 대상 질환들은 다음과 같다.
ㆍ담관 결석의 제거
ㆍ담관염의 치료를 위한 담즙액의 배액
ㆍ담관암이나 췌장암, 전이암에 의한 담관폐쇄의 치료
ㆍ담관 수술 후의 합병증의 치료
ㆍ선천성 이상에 의한 황달의 치료
ㆍ담석으로 인한 췌장염의 치료
ㆍ췌관결석의 제거
ㆍ췌장암이나 만성췌장염에 의한 췌관협착의 치료
ㆍ췌장염의 합병증에 의한 가성낭종이나 농양의 배액술
하지만, 시술이 항상 성공적으로 수행되는 것은 아니어서 담관이나 췌장의 선천적 기형, 유두부 주위에 게실이 있는 경우, 이전에 위절제술을 시행 받은 경우나 기타 구조적 혹은 기능적 이상이 있는 경우에서는 시술이 어려워 5~10% 정도의 환자에서는 검사를 성공적으로 수행할 수 없을 수도 있다. 또한 대부분의 환자에서는 합병증이나 후유증이 없이 검사가 끝나지만 2~5% 환자에서는 다음과 같은 합병증이 발생할 수 있으며, 응급수술을 시행할 경우도 드물게 있다.
발생 가능한 합병증 : 전처치 약제에 의한 알레르기, 내시경에 의한 점막손상, 복통, 출혈, 천공, 췌장염, 담관염, 담즙성 복막염, 패혈증, 사망 등
본원에서는 췌-담도 질환에 대해 최준혁 과장, 최현철 과장이 전문으로 치료하고 있으며, 내시경을 이용한 담췌관조영술에 관한 풍부한 시술경험과 노하우를 축적하고 있어 담도결석과 담관암 및 췌장암의 진단 및 치료에 최첨단의 시술을 하고 있다.







