※ 복부대동맥류 스텐트 삽입술 성공 ※
페이지 정보
작성자 관리자 작성일09-06-03 15:32 조회34,733회 댓글0건관련링크
본문
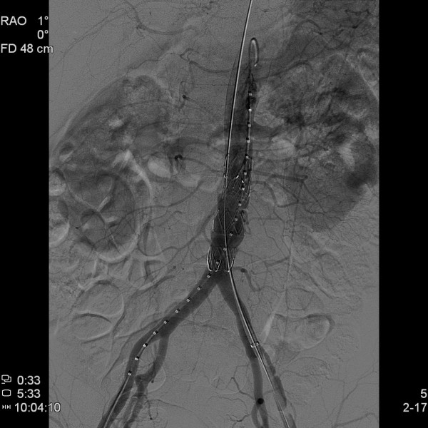
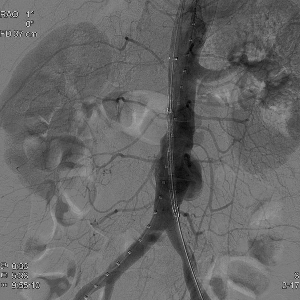
오산한국병원에서는 지난 5월 28일 오전, 제 3영상의학과 지주연 과장의 시술로 복부대동맥류 환자에 대한 스텐트 삽입술을 성공적으로 완료하였습니다.
복부대동맥류는 뱃속의 시한폭탄이라 일컬어지며 병원에 도착하기전에 사망하는 비율이 50%를 넘어가고, 살아 있어도 증상과 파열이 있는 경우에는 수술을 하더라도 성공률이 50%를 넘지 못하고 있는 실정으로 응급수술을 요하는 매우 위험한 질환입니다.
전국적으로 시술가능한 병원이 몇군데 안될 정도로 어려운 질환임에도 불구하고 이번에 복부대동맥류 스텐트 삽입술을 본 병원에서 성공하게 됨으로써 오산 및 인근지역내에 타의 추종을 불허하는 질높은 수준에 의료서비스를 제공할 수 있는 종합병원임을 다시한번 입증하게 되었습니다.
앞으로도 더욱더 실력으로 인정받으며, 지역주민 여러분께 자랑이 될 수 있는 오산한국병원이 되도록 열심히 노력하겠습니다.
복부대동맥류는 뱃속의 시한폭탄이라 일컬어지며 병원에 도착하기전에 사망하는 비율이 50%를 넘어가고, 살아 있어도 증상과 파열이 있는 경우에는 수술을 하더라도 성공률이 50%를 넘지 못하고 있는 실정으로 응급수술을 요하는 매우 위험한 질환입니다.
전국적으로 시술가능한 병원이 몇군데 안될 정도로 어려운 질환임에도 불구하고 이번에 복부대동맥류 스텐트 삽입술을 본 병원에서 성공하게 됨으로써 오산 및 인근지역내에 타의 추종을 불허하는 질높은 수준에 의료서비스를 제공할 수 있는 종합병원임을 다시한번 입증하게 되었습니다.
앞으로도 더욱더 실력으로 인정받으며, 지역주민 여러분께 자랑이 될 수 있는 오산한국병원이 되도록 열심히 노력하겠습니다.
댓글목록
등록된 댓글이 없습니다.
























